

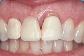
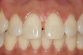
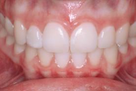
A traumatic bicycle accident resulted in multiple fractured teeth for this poor patient. Luckily, we were able to have her looking her best again by simply crowning 3 of her front teeth.


"I don't like my front teeth". Bleaching, a veneer, and replacing the crown on the upper left tooth resulted in a nice, natural look."


When missing a tooth, there are usually 3 options. 1) Implant, 2) Fixed Partial Denture (FPD) or 3-unit bridge, 3) Removable partial denture (RPD). This patient chose to have the existing 3-unit bridge replaced. The result is much more esthetic.


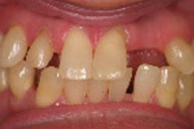
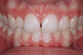
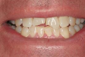
Severely broken down teeth from years of grinding brought this patient to seek cosmetic solutions. The treatment chosen was 2 porcelain fused to metal (PFM) crowns on the 2 front teeth.


This patient had severely broken down front teeth. The treatment of choice was to fabricate 3 anterior porcelain fused to metal (PFM) crowns


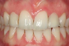
The patient did not like their crown as it had a dark line around the gumline and didn't look natural. We replaced the crown with a more natural looking crown.


The main concern was the appearance of the front crown. The patient found it had a dark line around the gumline and didn't look natural. We replaced the crown with a more natural looking crown.


Fluorosis or demineralization should not deter people from bleaching.


Fluorosis or demineralization will often make someone nervous to bleach their teeth because they’ve been told that it would make the white flecks stand out more. With our system, these white flecks will initially get whiter, but the rest of the teeth will eventually catch-up, leaving a very desirable result.


Tetracycline staining can be bleached for beautiful permanent results.


A combination of bleaching and microabrasion has given this patient their confidence back.


Often people will have one or two dark teeth due to previous trauma or root canal therapy. Bleaching is a simple way to fix this.


You can bleach your teeth to as white as you are comfortable with.


"My teeth are stained from smoking". The solution was to bleach the teeth as a reward for quitting and to replace the discolored filling on the front tooth.


This patient wanted whiter teeth. Our bleaching system offers very effective permanent tooth whitening.


"I don't like my front teeth". Bleaching, a veneer, and replacing the crown on the upper left tooth resulted in a nice, natural look.


Tetracycline stained teeth are harder to bleach but can be done.


Subtle changes can make a patient feel energized. This patient bleached followed by the replacement of the composites on the front teeth. The shape of the 2 front teeth were also changed slightly to improve the overall esthetics.


In-office Bleaching put a smile on this patients face.


Bleaching can be as subtle or as white as you'd like.


Bleaching the teeth can fix that one dark tooth that has bothered you for years.


"My teeth are stained from smoking". The solution was to bleach the teeth as a reward for quitting and to replace the discolored filling on the front tooth.


Subtle changes can make a patient feel energized. This patient bleached followed by the replacement of the composites on the front teeth. The shape of the 2 front teeth were also changed slightly to improve the overall esthetics.


This patient did not like the space between the front teeth. Composite build-ups were done to close the space.


This patient wasn't happy with the space between the front teeth. The treatment of choice for this patient was composite bonding between the front teeth to close the space.


This patient presented with their front tooth fractured after a playground accident. The tooth was restored with a composite build-up.


Playing sports can take a toll on the teeth. The simple solution was composite bonding on the edge of the tooth, and the tooth looks normal again.


This patient was missing a front tooth. An implant was placed to give this patient a worry-free smile.


This patient was concerned about the spacing between the upper teeth. The patient underwent 9 months in braces followed by 4 veneers.


2 implants and 6 veneers have given this patient the smile of her dreams.


This patient thought that she was headed for dentures and was embarrassed to smile. After braces, this patient had 2-implants and some veneers and couldn't be happier with the result.


The small lateral incisor was the main concern for this patient. In order to give the patient the best treatment, braces were put on for 6 months followed by a single veneer on the lateral incisor.




"My teeth are stained from smoking". The solution was to bleach the teeth as a reward for quitting and to replace the discolored filling on the front tooth.


Severely broken down teeth from years of grinding brought this patient to seek cosmetic solutions. The treatment chosen was 2 porcelain fused to metal (PFM) crowns on the 2 front teeth.


This patient did not like the space between the front teeth. Composite build-ups were done to close the space.


2 implants and 6 veneers have given this patient the smile of her dreams.


This patient was concerned about the spacing between the upper teeth. The patient underwent 9 months in braces followed by 4 veneers.


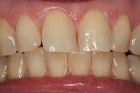
One single veneer has made an esthetic improvement for this patient.


"I don't like my front teeth". Bleaching, a veneer, and replacing the crown on the upper left tooth resulted in a nice, natural look.


This patient was not happy with the 4 front teeth. 4 veneers were done to improve the overall esthetics and eliminate the dark triangle between the front teeth.


Bleaching the teeth can fix that one dark tooth that has bothered you for years.


A traumatic bicycle accident resulted in multiple fractured teeth for this poor patient. Luckily, we were able to have her looking her best again by simply crowning 3 of her front teeth.


When missing a tooth, there are usually 3 options. 1) Implant, 2) Fixed Partial Denture (FPD) or 3-unit bridge, 3) Removable partial denture (RPD). This patient chose to have the existing 3-unit bridge replaced. The result is much more esthetic.


2 implants and 2 crowns brought this patient his smile back after a traumatic incident resulting in the loss of a few teeth and movement of some others.


The small lateral incisor was the main concern for this patient. In order to give the patient the best treatment, braces were put on for 6 months followed by a single veneer on the lateral incisor.


This patient had composite veneers done many years ago but over time they were looking worn and the patient wanted a more esthetic result. 4-veneers were placed on the front teeth.


This patient thought that she was headed for dentures and was embarrassed to smile. After braces, this patient had 2-implants and some veneers and couldn't be happier with the result.


This patient was missing a front tooth. An implant was placed to give this patient a worry-free smile.


After a weekend accident, this patient was happy to be restored with 2 crowns.


This patient had broken down front teeth with composite build-ups. The patient found her teeth too square and unnatural looking and was looking for a more predictable and esthetic treatment solution. Her two front teeth were crowned.


This patient had staining on their teeth that has been noticeable and concerning for years. A simple non-invasive procedure called microabrasion was able to remove the stain and leave a more esthetic look.


This patient wasn't happy with the space between the front teeth. The treatment of choice for this patient was composite bonding between the front teeth to close the space.


This patient was missing a front tooth. An implant was placed to give this patient a worry-free smile.


2 implants and 2 crowns brought this patient his smile back after a traumatic incident resulting in the loss of a few teeth and movement of some others.


2 implants and 6 veneers have given this patient the smile of her dreams.






This patient had Maryland bridges on her two upper laterals that kept falling off. The patient had enough and wanted a more definitive treatment option. Normally implants would be the best solution however in this case there wasn't enough room for conventional implants. We offered the patient mini-implants as a great alternative. These implants look, function and feel like natural teeth and the patient no longer worries that her teeth are going to fall off.


"Oops, that's not good". The tooth broke off at the gumline, which necessitated extraction of the tooth. We can remove the tooth and place an implant in the same appointment. The patient never has to go without a tooth. This is called immediate implant placement, immediate temporization.


This patients main concern was the missing teeth. The patient had 3 implants and 2 crowns done to restore him to full function


This patient thought that she was headed for dentures and was embarrassed to smile. After braces, this patient had 2-implants and some veneers and couldn't be happier with the result.


This patient was not interested in braces but chose Invisalign to align her front teeth.






A combination of bleaching and microabrasion has given this patient their confidence back.


This patient had staining on their teeth that has been noticeable and concerning for years. A simple non-invasive procedure called microabrasion was able to remove the stain and leave a more esthetic look.


Even though these teeth are in the back of the mouth, this patient was bothered by the appearance of her "dark tooth". 2 posterior crowns were done to restore two broken down teeth. This treatment solution provides good long-term predictability and the improved esthetics is a bonus.


2 implants and 2 crowns brought this patient his smile back after a traumatic incident resulting in the loss of a few teeth and movement of some others.


A traumatic bicycle accident resulted in multiple fractured teeth for this poor patient. Luckily, we were able to have her looking her best again by simply crowning 3 of her front teeth.


One single veneer has made an esthetic improvement for this patient.


This patient had composite veneers done many years ago but over time they were looking worn and the patient wanted a more esthetic result. 4-veneers were placed on the front teeth.


2 implants and 6 veneers have given this patient the smile of her dreams.


This patient thought that she was headed for dentures and was embarrassed to smile. After braces, this patient had 2-implants and some veneers and couldn't be happier with the result.


This patient was not happy with the 4 front teeth. 4 veneers were done to improve the overall esthetics and eliminate the dark triangle between the front teeth.


This patient was concerned about the spacing between the upper teeth. The patient underwent 9 months in braces followed by 4 veneers.